| |
|
|
Пожалуйста, воспользуйтесь нашим прекрасным поиском...
|
|
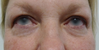
Блефаропластика |
|||||||||||||||
| До | После |
![]() |
![]() |
![]() |
![]() |
![]() |
![]() |
Материалы, размещенные на сайте, имеют возрастные ограничения 18+. Фото и видео носят медицинский характер и размещены исключительно в информационных целях. Не рекомендованы к просмотру лицам, не достигшим совершеннолетнего возраста, а также беременным и людям с неустойчивой психикой. Информация на сайте носит рекомендательный характер. Посоветуйтесь с лечащим врачом. © Независимый портал о пластической хирургии «PlasticReview:» (2006 — 2025). Републикация текстовых и графических материалов сайта возможна только с письменного разрешения администрации. |