Логин
Пароль
Регистрация  |  Напомнить пароль
Пример:  Бесплатные пластические операции
Наш портал о-о-очень большой. Найдите то, зачем пришли!

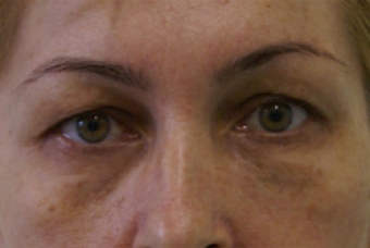
Блефаропластика
Хирург: Александр Викторович Грудько
Перейти к профайлу хирурга




До После
Посмотреть работы других пластических хирургов по операции «Блефаропластика»
Посмотреть другие работы этого хирурга по операции «Блефаропластика»
Посмотреть другие работы этого хирурга
Перейти к профайлу хирурга
Перейти к фотогалерее
Чтобы оставить комментарий, зарегистрируйтесь, пожалуйста