Логин
Пароль
Регистрация  |  Напомнить пароль
Пример:  Премия для пластических хирургов
Наш портал о-о-очень большой. Найдите то, зачем пришли!
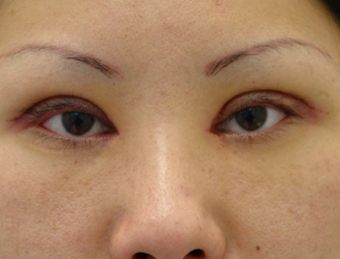
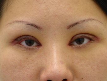
PlasticReview: До и После Елена Ивановна Карпова Этническая блефаропластика

Этническая блефаропластика
Хирург: Елена Ивановна Карпова
Перейти к профайлу хирурга




До После
Посмотреть работы других пластических хирургов по операции «Сингапури»
Посмотреть другие работы этого хирурга по операции «Сингапури»
Посмотреть другие работы этого хирурга
Перейти к профайлу хирурга
Перейти к фотогалерее
Оставить комментарий
  Оставить комментарий
ЗАКРЫТЬ
  

Редактировать тему

Заголовок *
Анонс (выводится под названием темы в списке тем)
Текст *
Руководство по работе с редактором (вставка изображений, видео и т.д.).
Улыбка Классно Поцелуй Слушаю музыку Хорошая шутка Нечего сказать Плачу Огорчен Выпиваю Дьявол Скучаю Отстой Молчу Поцеловал Подмигиваю Влюблен Спасибо Бомба Сюрприз Злой Целую Показываю язык Шутка Стоп Очкарик Крик Краснею Ангел
ЗАКРЫТЬ
  

Ваш комментарий

Заголовок
Текст *
Руководство по работе с редактором (вставка изображений, видео и т.д.).
Улыбка Классно Поцелуй Слушаю музыку Хорошая шутка Нечего сказать Плачу Огорчен Выпиваю Дьявол Скучаю Отстой Молчу Поцеловал Подмигиваю Влюблен Спасибо Бомба Сюрприз Злой Целую Показываю язык Шутка Стоп Очкарик Крик Краснею Ангел