Логин
Пароль
Регистрация  |  Напомнить пароль
Пример:  Реклама пластических хирургов

Ваш профиль



Гость
Звание:Прохожий
Статус:
Авторитет:100
Сообщений:
0

Статистика форума

Сейчас на форуме:
1070 человек
Сейчас на форуме 1070 гостей
Просмотров:
644'820'264
Тем:
11'683
Сообщений:
162'565


Последнее обновление:
вчера в 14:26
Bregina

«Пульс» форума

От Bregina, вчера в 14:26, в теме
Знаете, что мне гадалка нагадала?
Как вообще им можно верить?

На маркетплейсах слишком много продукции низкого качества реализуется. Как по мне, лучше будет сделать заказ у какой-нибудь компании, которая предоставляет все необходимые сертификаты клиентам...

От Mirroshkina, пятница в 21:59, в теме
Бесплодие неясного генеза.
У нас болезнь была запущена и уже поразила яичники, поэтому мне пришлось вначале пройти лапару, а потом лечение.Проходила прайминг, чтобы запустить яичники и вырастить доминантные клетки...

Полностью согласна.

От Robofex, среда в 20:54, в теме
Решила установить спираль Мирена.
Чтобы найти актуальные цены и наличие в аптеках Саратова, можно воспользоваться специализированными сервисами. Например, можете посмотреть, где на данный момент есть возможность купить спираль Мирена, на сайте этой онлайн-аптеки nasha-apteka...

Online-консультации / Гениопластика подбородка при отсутствии подбородка

Число уровней комментариев для показа
Авторитет: 100
Прохожий, 3 сообщения
Понедельник, 10 июня 2013 года в 23:17


Гениопластика подбородка при отсутствии подбородка

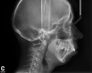
Добрый день, проконсультируйте можно ли в моем случае обойтись "малой кровью" исправить дефект с помощью гениопластики.
Врач говорит прикус компенсирован.
Все снимки прилагаю.


http://www.vseoplastike.ru/data/files/ortp.png 78

Спасибо
Протасов Кирилл Андреевич
Пластический хирург
Ответить пользователю
  
Ссылка
  
   Понедельник, 10 июня 2013 года в 23:45
Установка импланта радикально изменит ситуацию к лучшему. Помимо улучшения черт лица, значительно изменится боковой контур шеи, уйдет второй подбородок
Кирилл Андреевич Протасов
www.protasov.com
[email protected]
тел. для записи +7(812) 346-50-33 Санкт-Петербург
Авторитет: 100
Прохожий, 3 сообщения
Ответить пользователю
  
Ссылка
  
   Понедельник, 10 июня 2013 года в 23:49
спасибо.
сколько стоит операция? примерно
Барсаков Максим Александрович
Пластический хирург
Ответить пользователю
  
Ссылка
  
   Вторник, 11 июня 2013 года в 00:07
Здравствуйте! Да, проблему может решить протезирование подбородка.Стоимость операции 60 т. р. плюс стоимость импланта.
Обращайтесь!
Дубинин Сергей Андреевич
Пластический хирург
Ответить пользователю
  
Ссылка
  
   Среда, 26 июня 2013 года в 11:18
Здравствуйте!
Увеличивающая пластика подбородка даст заметное улучшение!
Но "компенсированный" прикус не исключает, при такой картине, проблем с височно-нижнечелюстным суставом.
Запись на консультацию по тел.: +7(903)271-97-07 или +7(499) 196-09-24
ГБУЗ "ГКБ №52"
Пластическая хирургия
Адрес: г.Москва СЗАО ул. Пехотная 3
(м.Октябрьское поле, м.Щукинская)
http://www.52gkb.ru/
http://www.doctordubinin.ru/
С уважением, Доктор Дубинин!
Пшениснов Кирилл Павлович
Пластический хирург
Ответить пользователю
  
Ссылка
  
   Пятница, 7 марта 2014 года в 14:44
Здравствуйте!
Для камуфлирующего эффекта (для уменьшения степени микрогнатии), действительно, можно установить имплантат подбородка. Для полного исправления данного дефекта необходимо обратиться к челюстно-лицевому хирургу для более сложной реконструктивной операции.
Задать еще вопросы и записаться на консультацию по тел.:+7(495) 933-66-42
Ответить
  Ответить
ЗАКРЫТЬ
  

Редактировать тему

Заголовок *
Анонс (выводится под названием темы в списке тем)
Текст *
Руководство по работе с редактором (вставка изображений, видео и т.д.).
Улыбка Классно Поцелуй Слушаю музыку Хорошая шутка Нечего сказать Плачу Огорчен Выпиваю Дьявол Скучаю Отстой Молчу Поцеловал Подмигиваю Влюблен Спасибо Бомба Сюрприз Злой Целую Показываю язык Шутка Стоп Очкарик Крик Краснею Ангел
ЗАКРЫТЬ
  

Ваше сообщение

Заголовок
Текст *
Руководство по работе с редактором (вставка изображений, видео и т.д.).
Улыбка Классно Поцелуй Слушаю музыку Хорошая шутка Нечего сказать Плачу Огорчен Выпиваю Дьявол Скучаю Отстой Молчу Поцеловал Подмигиваю Влюблен Спасибо Бомба Сюрприз Злой Целую Показываю язык Шутка Стоп Очкарик Крик Краснею Ангел